当院の非担当医制度について
2025年08月09日(土)
当院は現在保険診療の虫歯治療であれば担当医制度を行っておりません。
皆さんもご存知の通り、勤務医の先生に処置をお願いしている状態です。若い先生が多いのですが、理事長の私が若い歯科医師の教育が必要かつ簡単だと思っているからです。
経験が浅い歯科医師も勤務しておりますのでコミュニケーション能力が習熟されていないと感じる患者さんもいらっっしゃるかもしれませんが、歯科治療において勉強家であること、新しい設備や拡大鏡、マイクロスコープに抵抗がないことが当院で勤務する歯科医師には条件であることが挙げられます。
大学病院所属の助教の先生もバイトで来ていただいておりますが、常勤に絞った形での採用は上記の通りです。
保険診療において大事になってくることに知識が豊富であること、拡大視野であること、機器が適切であることが大きく関わってくるのではないかと思います。
虫歯削る1つの行為であったとしても滅菌した途端に切れ味が落ちるスチールバーを使用するのと、切れ味が安定しているタングステン、ジルコニアのバーを使用するのとでは治療の結果は変わるということです。
神経の治療においても
自発痛がない状態にするにはAδ繊維が豊富な冠部歯髄を除去する、むやみに歯根を弄るとC繊維が壊死して麻酔効かない、次亜塩素酸効かない、難治性もしくは慢性疼痛を引き起こす可能性もあります。
難しい話ですが勤務医は処置前に保険診療においても全て知識として理解した上で処置しています。
そのため歯科医院特有の匂いの原因であるペリオドンは当院にはありませんし必要性を感じていません、勤務医も同じ考えです。
神経の治療ではどこを削ると歯の強度が落ちるのか、樹脂の詰め物の限界点、削らない治療が起こすデメリットとは、痛みの診断とは
数えるとキリがないですが保険で重要なことはあまり難しいことではなく、正しい器具と知識が適切であれば良いということだと考えております。
材質の劣化、接着の限界が保険ではあるのでベストは自由診療ですが、保険診療では勤務医に任せても私は問題ないと判断しております。
それでも週末の休みを潰して5ーDのアドバンスコースに毎月勉強しに行ったり。
卒後2年目で学会発表や毎月のセミナーに休みを使い研鑽したり

新卒の先生でも(昨年当院に研修医として働いておりましたが)診療後にオンラインで研鑽したり

確かに経験年数が少ないのでコミュニケーションが不慣れではあると思いますが、適切な器具は当院が準備しておりますし、知識は教えています。彼らは自ら研鑽して歯科医師として正しい治療の提供を心がけていると感じています。
担当医制度が良ければ院長が一人で診療されている医院も周囲にはございます、患者さんにお願いしたいことは頑張っている彼らに若いからという理由で苦情を言わないで欲しいということです。
歯科治療というものは治療の質が分かり難かったり、評価されたりすることもありません。患者さんには伝わらないところを勉強し、休みを削って続けることは簡単なことではありません。成長期にある彼らに頑張っても意味ないことだと感じて欲しくありません、どうぞご理解のほどよろしくお願い致します。
自費は院長を中心に診療させていただいております。
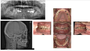
最近ではフルマウスの噛み合わせを0から作りスマイルの改善を行うケースが増えてきています
初診時

フェイススキャンにてスマイルの検討、顎骨の位置より現実治療可能範囲で設定

1回目の仮歯におけるスマイルの変化

細かいところは歯周組織の維持、根管治療のやり直し等ありますが細部も顔貌もできるだけ整うように工夫しながら治療しております。
顎関節も含めて難しい治療ですが悩まれている患者さんいれば相談対応いたします。
今後ともよろしくお願い致します。

